
Neuigkeiten
-
Tübinger Alumnus mit "RIG Outstanding Doctoral Thesis Award" ausgezeichnet
Der HIH-Tübingen-Alumnus Pierre Schumacher wurde als einer von zwei Preisträgern mit dem „RIG Outstanding Doctoral Thesis Award“ ausgezeichnet, der herausragende Promotionsarbeiten in der Robotik in Deutschland würdigt. Die Auszeichnung wurde im Rahmen der „RIG Heroes Award Night 2026“ auf der German Robotics Conference 2026 bekannt gegeben, die vom Robotics Institute Germany (RIG) am 12. März in Köln organisiert wurde.
-
Blutmarker für Alzheimer könnte auch bei Herz- und Nierenerkrankungen nützlich sein
Ein bestimmtes Eiweiß im Blut, das als früher Hinweis auf Alzheimer gilt, spielt offenbar auch bei anderen Erkrankungen eine Rolle. Forschende des Deutschen Zentrums für Neurodegenerative Erkrankungen (DZNE) und des Hertie-Instituts für klinische Hirnforschung (HIH) an der Universität Tübingen haben entdeckt, dass erhöhte Werte des sogenannten phosphorylierten Tau-Proteins (pTau) auch bei zwei weniger bekannten Krankheiten vorkommen, die vorwiegend Herz und Niere betreffen.
-
Blutmarker aus der Demenzforschung könnte helfen, Alterung im Tierreich zu erfassen
Der Eiweißstoff „Neurofilament-Leichtkette“ (NfL) – der beim Menschen im Kontext neurodegenerativer Erkrankung und des Alterns erforscht wird – ist auch im Blut zahlreicher Tiere nachweisbar und bei Mäusen, Katzen, Hunden und Pferden steigt seine Konzentration mit dem Alter.
-
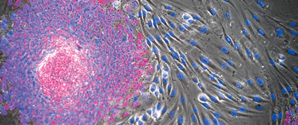
Chimäre Maus-Mensch-Kulturen ermöglichen die Untersuchung humaner Mikroglia in der Petrischale
Jüngste bahnbrechende Studien berichten über die Transplantation humaner Organoide in Mäusegehirne, um grundlegende Fragen der humanen Nervenentwicklung und Glia-Zellbiologie zu untersuchen. Aufbauend auf diesen Fortschritten haben Forscher des Hertie-Instituts für klinische Hirnforschung an der Universität Tübingen nun ein vergleichbares Ergebnis in vitro erzielt, indem sie humane Organoide mit Maushirnschnittkulturen kombinierten.
-
Wechsel an der Spitze des HZN: Prof. Holger Lerche übernimmt Vorstandsvorsitz
Das Hertie-Zentrum für Neurologie (HZN) hat einen neuen Vorstandsvorsitzenden. Prof. Holger Lerche übernimmt die Leitung und folgt damit auf Prof. Thomas Gasser, der das Amt viele Jahre mit großem Engagement geprägt hat.
Wir danken Prof. Gasser für seine herausragenden Verdienste und wünschen Prof. Lerche einen erfolgreichen Start in seiner neuen Funktion!
-
Prof. Ulf Ziemann einer der weltweit meistzitierten Wissenschaftler
Prof. Ulf Ziemann gehört auch dieses Jahr zu den weltweit meistzitierten Wissenschaftlerinnen und Wissenschaftlern. Herzlichen Glückwunsch!
Er erhielt die Auszeichnung als einziger Neurowissenschaftler in Tübingen, als einer von 4 Wissenschaftlern und Wissenschaftlerinnen insgesamt an der Universität Tübingen, und als einer von 7 im Feld „Neuroscience und Behavior“ in Deutschland.
-
RNA-Medizin: Hoffnung für bislang unheilbare Krankheiten
Mit RNA-Medizin lassen sich bislang unheilbare Krankheiten behandeln. Eine Riesenchance für Patienten und Patientinnen mit seltenen Erkrankungen – aber auch bei Volkskrankheiten wie Alzheimer.
Prof. Matthis Synofzik, Leiter der Sektion "Translationale Genomik neurodegenerativer Erkrankungen" am HIH, gilt als einer der Vorreiter einer medizinischen Revolution: der RNA-Therapie.
-
Innovationspreis der Parkinson Stiftung
Viele Menschen mit Parkinson leiden unter Tremor – einem unwillkürlichen Zittern, das alltägliche Handlungen erheblich erschwert. Ein Forschungsteam um Dr. Alona Shagan Shomron (MPI-IS), Prof. Syn Schmitt (Universität Stuttgart) und Prof. Daniel Häufle (HIH) entwickelt neue Ansätze für tragbare Assistenzsysteme, die mit „künstlichen Muskeln“ arbeiten. Dafür wurden sie mit dem Innovationspreis der Parkinson Stiftung ausgezeichnet. Herzlichen Glückwunsch!
-
Weltschlaganfalltag 29.10.2025: Neue Forschungsgruppe am HIH
Jedes Jahr erleiden rund 270.000 Menschen in Deutschland einen Schlaganfall. Liegt ein Verdacht auf einen Schlaganfall vor, zählt jede Minute. Anlässlich des Weltschlaganfalltages am 29. Oktober begrüßen wir recht herzlich PD Dr. Annerose Mengel am HIH. Sie leitet ab sofort ihre eigene Forschungsgruppe "Schlaganfallerholung und Outcome“ in der Abteilung „Neurologie mit Schwerpunkt neurovaskuläre Erkrankungen“ von Prof. Ulf Ziemann.
-
"Wir wollen mit dem Immunsystem Hirntumore austricksen"
Prof. Dr. Lisa Sevenich, Leiterin der Forschungsgruppe „Experimentelle Neuroonco-Immunologie“ am HIH, erklärt im Interview mit der Gemeinnützigen Hertie-Stiftung, wie eng Immun- und Nervensystem miteinander verflochten sind, welche Rolle die Immunologie im Kampf gegen Hirntumoren spielt – und warum gerade das Mikrobiom neue Hoffnung für zukünftige Therapien weckt.
Lesen Sie hier das ganze Interview
Abteilungen
-
Neurologie mit Schwerpunkt neurovaskuläre Erkrankungen
Die Abteilung Neurologie mit Schwerpunkt neurovaskuläre Erkrankungen unter der Leitung von Prof. Dr. med. Ulf Ziemann deckt eine große Bandbreite neurologischer Erkrankungen ab ...mehr Info
-
Neurologie mit Schwerpunkt neurodegenerative Erkrankungen
Die Abteilung für Neurologie mit Schwerpunkt neurodegenerative Erkrankungen verfügt über rund 20 Betten und konzentriert sich in ihrem klinischen Bereich auf neurodegenerative Erkrankungen ...mehr Info
-
Neurologie mit Schwerpunkt Epileptologie
Die Abteilung Neurologie mit Schwerpunkt Epileptologie befasst sich vor allem mit Epilepsien und anderen anfallsartigen neurologischen Erkrankungen. Ziel ihrer Forschungsaktivitäten ...mehr Info
-
Neurologie mit interdisziplinärem Schwerpunkt Neuroonkologie
Die Abteilung Neurologie mit interdisziplinären Schwerpunkt Neuroonkologie unter der Leitung von Prof. Dr. med. Dr. rer. nat Ghazaleh Tabatabai ist eine bettenführende neurologische Abteilung... Mehr Info
-
Neuronale Dynamik und Magnetenzephalographie
Die Abteilung Neuronale Dynamik und Magnetenzephalographie wurde im Jahre 2020 gegründet und als ihr Leiter Prof. Dr. Markus Siegel berufen... mehr Info
-
Zellbiologie neurologischer Erkrankungen
Der Fokus unserer Forschungsarbeiten liegt auf den zellulären und molekularen Mechanismen von Hirnalterung und altersbedingter neurodegenerativer Erkrankungen. Hierbei konzentriert sich die Forschung insbesondere auf die Pathogenese der Alzheimer-Erkrankung ...mehr Info
-
N3: Neurorehabilitation / Neuroprothetik / Neurotechnologie
Die Abteilung N3: Neurorehabilitation / Neuroprothetik / Neurotechnologie verzahnt Grundlagenforschung mit technischen Anwendungen… mehr Info
-
Unabhängige Forschungsgruppen
Die unabhängigen Forschungsgruppen konzentrieren ihre Forschungsarbeit auf verschiedene Forschungsthemen ...mehr Info
Forschungsgruppen
-
FG Helfrich
Intrakranielle Kognitive Neurophysiologie
Das Ziel der Arbeitsgruppe ist es, die neuronalen Mechanismen kognitiver Prozesse besser zu verstehen. ...mehr Info
-
FG Ziemann
Neuroplastizität
Das menschliche Gehirn besitzt eine erstaunliche Fähigkeit zur Reorganisation, die Voraussetzung für die Anpassung an sich ständig ändernde Umweltbedingungen ist. Diese Fähigkeit zur Plastizität ...mehr Info
-
FG Himmelbach
Neuropsychologie der Handlungskontrolle
Die Arbeitsgruppe „Neuropsychologie der Handlungskontrolle“ widmet sich der Erforschung der Netzwerke und Systeme der Handlungskontrolle des Menschen. Wir untersuchen Störungen der Handlungsplanung und -steuerung im Zusammenhang neurologischer Erkrankungen ...mehr Info
-
FG Neher
Experimentelle Neuro-Immunologie
Eine Aktivierung des Immunsystems des Gehirns ist Teil fast aller neurologischer Erkrankungen und das Auftreten der Alzheimer-Demenz (AD) wurde kürzlich mit genetischen und epigenetischen Veränderungen von immun-relevanten Genen in Verbindung gebracht. ...mehr Info
-
FG Gasser
Parkinsongenetik
Das Parkinson Syndrom (PS) ist nach der Alzheimer-Demenz die zweithäufigste neurodegenerative Erkrankung. Die große Mehrzahl der Patienten erkrankt ohne erkennbare Ursache. Bei einem kleinen Teil der Patienten ...mehr Info
-
Unit Laske
Unit Demenzforschung
Die Unit Demenzforschung ist eine gemeinsame Arbeitsgruppe der Abteilung für Zellbiologie neurologischer Erkrankungen und der Universitätsklinik für Psychiatrie und Psychotherapie ...mehr Info
-
FG Ilg
Okulomotorik Labor
Computerspiele sind ein sehr weit verbreitetes Freizeitvergnügen unserer Gesellschaft. Um die Folgen dieser Spiele abschätzen zu können, führen wir Untersuchungen der Blickbewegungen und des Pupillenreflexes sowie die Auswirkungen von ... mehr Info
-
FG Jucker
Experimentelle Neuropathologie
„Zerebrale Proteopathie" ist die Bezeichnung für zerebrale neurodegenerative Erkrankungen, bei denen sich aggregierte Proteine ...mehr Info
-
FG Kowarik
Neurologische B-Zell Immunologie
Die Forschungsgruppe „Neurologische B-Zell Immunologie“ beschäftigt sich primär mit der Rolle von B-Zellen bei neuro-inflammatorischen Erkrankungen des Zentralnervensystems (ZNS) wie der Multiplen Sklerose und ...mehr Info
-
-
FG Siegel
Neuronale Dynamik und Magnetenzephalographie
Das Labor erforscht, wie dynamische Interaktionen weitverteilter Nervenzellpopulationen Kognition und Verhalten hervorbringen ...mehr Info
-
JFG Hedrich-Klimosch
Experimentelle Neurophysiologie von Kanalerkrankungen
Unsere Arbeitsgruppe untersucht mit Hilfe transgener Mausmodelle die molekularen Mechanismen krankheitsassoziierter Mutationen in Genen, welche neuronale Ionenkanäle kodieren. ...mehr Info
-
FG Wochner
Neuromechanische Modellierung und Sensorfusion für Assistenzrobotik
Die Forschungsgruppe untersucht, wie Alltagsbewegungen mithilfe tragbarer Sensordaten und neuromechanischer Computermodelle in Echtzeit vorhergesagt werden können. mehr Info
Forschungsgruppen
-
FG Kronenberg-Versteeg
Glia-Zellbiologie
Im Gehirn von Säugetieren findet sich eine große Anzahl Gliazellen, doch viele Fragen zu ihrer Entwicklung, Funktion und Beteiligung an Krankheiten sind noch nicht beantwortet. ...mehr Info
-
FG Brockmann
Klinische Parkinson-Forschung
Die Parkinson Erkrankung ist die zweithäufigste neurodegenerative Erkrankung nach der Alzheimer-Demenz. Die Häufigkeit der Erkrankung steigt mit dem Lebensalter ...mehr Info
-
FG Sevenich
Experimentelle Neuroonco-Immunologie
Die Forschungsgruppe beschäftigt sich mit Aspekten der Tumorimmunologie in Hirntumoren mit einem besonderen Schwerpunkt auf Hirnmetastasen ...mehr Info
-
Unit Käser
Unit Molekulare Biomarker
Die Prozesse, die für die Entstehung der Alzheimer-Krankheit und anderer altersabhängiger neurodegenerativer Erkrankungen verantwortlich sind, setzen bereits ...mehr Info
-
FG Gasser
Dystonie
Dystonie ist die dritthäufigste Bewegungsstörung, und Mutationen in einer wachsenden Anzahl von Genen wurden in vielen Fällen als Ursachen für erbliche Formen identifiziert. Das Ziel der Gruppe ...mehr Info
-
FG Poli
Stroke and Neuroprotection
Beim ischämischen Schlaganfall sind hirnversorgende Arterien verstopft und Teile des Gehirns minderdurchblutet. Das führt zu einem Sauerstoffmangel und das betroffene Hirngewebe stirbt über die Zeit ab. ...mehr Info
-
FG Lerche
Experimentelle Epileptologie
Das Hauptinteresse unserer Forschungsgruppe ist, die Mechanismen klar abgegrenzter, genetisch-bedingter, neurologisch paroxysmaler Erkrankungen aufzuklären ...mehr Info
-
FG Hafed
Labor für Aktive Wahrnehmung
Bei nahezu jeder Interaktion mit der Umwelt ist der Mensch in höchstem Maße auf den Sehsinn angewiesen. Solch eine Interaktion schließt häufig eine motorische Reaktion ...mehr Info
-
FG Fitzgerald
Mitochondriale Biologie der Parkinson-Krankheit
Ein Teil von Fällen neurodegenerativer Erkrankungen ist mit einem genetischen Risiko und Genmutationen verbunden. Jedoch sind …mehr Info
-
FG Grimm
Neuromuskuläre Bildgebung
Die Arbeitsgruppe beschäftigt sich mit der Bildgebung des peripheren Nervensystems, vor allem dem hochauflösenden Ultraschall ...mehr Info
-
FG Tabatabai
Labor für klinische und experimentelle Neuroonkologie
Die Projekte des Labors für Klinische und Experimentelle Neuroonkologie befassen sich mit der Biologie von Hirntumoren, mit speziellem Fokus auf zielgerichteten individualisierten therapeutischen Angriffspunkten. ... mehr Info
-
FG Kühn
Translationale Bildgebung kortikaler Mikrostruktur
Meine Arbeitsgruppe verwendet translationale MR-Bildgebung, um zu verstehen, wie die Mikrostruktur des Kortex und menschliche Gehirnfunktion in Gesundheit und Krankheit im Zusammenhang zueinander stehen... mehr Info
-
JFG Wuttke
Molekulare und translationale neurochirurgische Epileptologie
Das Ziel unserer Gruppe ist es, neue Behandlungsoptionen für Patienten mit medikamentenresistenten epileptischen Anfällen und assoziierten enzephalopathischen Syndromen zu entwickeln. Mehr Info
Forschungsgruppen
-
FG Schöls
Sektion Klinische Neurogenetik
In enger Verzahnung von Klinik und Grundlagenforschung verfolgen wir einen translationalen Ansatz um Ursachen neurogenetischer Erkrankungen aufzudecken und durch die Analyse der ...mehr Info
-
FG Thier
Kognitive Neurologie
Die enorme Anzahl an Fasern, die der Großhirnrinde entspringen und über die pontinen Kerne in das Kleinhirn projizieren, weisen den cerebro-ponto-cerebellären Pfad als eine wichtige Instanz der ...mehr Info
-
FG Schüle
Genomik seltener Bewegungsstörungen
Seltene Erkrankungen sind also eine enorme Herausforderung und die Medizin und erfordern von uns Klinikern und Wissenschaftlern, Fachleute für Spezialfälle zu sein. Das Schlagwort ...mehr Info
-
FG Giese
Sektion Theoretische Sensomotorik
Die Sektion Theoretische Sensomotorik untersucht die theoretischen Prinzipien in der Wahrnehmung und Kontrolle motorischer Handlungen ...mehr Info
-
FG Karnath
Sektion Neuropsychologie
Zu den Aufgaben der Sektion Neuropsychologie gehört die Forschung im Bereich Kognitive Neurowissenschaften und Neuropsychologie sowie ...mehr Info
-
FG Kahle
Funktionelle Neurogenetik
Altersbedingte neurodegenerative Erkrankungen sind eine schwere und zunehmend beunruhigende Belastung für unsere alternde Bevölkerung. Die meisten der chronischen neurodegenerativen Erkrankungen ...mehr Info
-
FG Schwarz
Labor für Systemische Neurophysiologie
Das übergeordnete Ziel der Arbeitsgruppe ist das Verständnis der Funktionsprinzipien des Neokortex auf Netzwerk und Zellebene. Neokortex ist eine Hirnstruktur, die sich in der Evolution der Säugetiere entwickelt hat ...mehr Info
-
FG Weiß
Tiefe Hirnstimulation
Die Arbeitsgruppe für Tiefe Hirnstimulation erforscht die Wirkungsweise und Weiterentwicklung der Neurostimulation ...mehr Info
-
FG Häufle
Neuromechanik und Rehabilitationsrobotik (NeuRoMech)
Die Forschungsgruppe “Neuromechanik und Rehabilitationsrobotik (NeuRoMech)” untersucht die Erzeugung und Kontrolle aktiver biologischer Bewegungen. Wir entwickeln Modelle ...mehr Info
-
JFG Merk
Experimentelle pädiatrische Neuroonkologie
Hirntumore sind die häufigste krebsbedingte Todesursache in Säuglingen, Kindern und Jugendlichen. Unsere Arbeitsgruppe beschäftigt sich hauptsächlich mit der Gruppe der embryonalen Hirntumore inklusive ... mehr Info
-
FG Snaidero
Neuron-Glia Interaktionen
The goal of the Snaidero lab is to decipher and control cellular interactions between neurons and glia cells in the cortex, focussing on the dynamic processes underlying myelination. ... mehr Info
-
JFG Renovanz
Neuroonkologische Versorgungsforschung
Fokus der Arbeitsgruppe liegt neben der gesundheitsbezogenen Lebensqualität und des psychosozialen Unterstützungsbedarfs neuroonkologischer Patient*innen auch auf der Optimierung deren Versorgung. Die Leitfrage... mehr Info
-
FG Synofzik
Sektion Translationale Genomik neurodegenerativer Erkrankungen
Unsere Sektion verfolgt systematisch eine translationale Pipeline zur Entwicklung von Therapiestrategien für ein breites Spektrum genetisch stratifizierter neurodegenerativer Erkrankungen ... mehr Info







